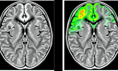
Our ability to store information about familiar objects depends on the connection between visual and language processing regions in the brain, according to a new study.
Researchers have developed a method to confidently produce blood cell precursors from stem cells in mice, by activating a set of seven key genes in the...
Humans perceive and navigate the world around us with the help of our five senses: sight, hearing, touch, taste and smell. And while scientists have long...
Clinicians have demonstrated that doctors can gain a wealth of knowledge about a patient's cancer by using multiple laboratory techniques to study tumor tissue taken from...
A new study finds that an easily measurable brain wave shift of phase may be a universal marker of unconsciousness under general anesthesia.
Researchers have completed a comprehensive analysis of cancer statistics for different age groups in the United States and found that from 2010 through 2019, the incidence...
Obstructive sleep apnea, a condition that causes lower oxygen levels during sleep, is linked to degeneration of brain regions associated with memory through damage to the...
A phase I study of a next-generation CAR T cell therapy showed a 52 percent complete remission rate for patients with relapsed/refractory lymphoma.
Researchers have developed a new type of pipette that can deliver ions to individual neurons without affecting the sensitive extracellular milieu. Controlling the concentration of different...
Researchers have created a hairlike device for long-term, non-invasive monitoring of the brain's electrical activity. The lightweight and flexible electrode attaches directly to the scalp and...